hPSMA
品系全名
C57BL/6Smoc-Folh1tm1(hPSMA-Wpre-PA)Smoc
目录号
NM-HU-200240
品系状态
活体
基因信息
基因名
Folh1
品系描述
验证数据

Fig1. Detection of PSMA expression in kidney by RT-PCR. Wild type: only one band at 294 bp with primers F1/R1(mPsma);Heterozygous: one band at 294 bp with primers F1/R1(mPsma) and one band at 169 bp with primers F2/R2(hPSMA); Abbr.. M, DNA marker; HO, homozygous; HE, heterozygous; WT, wild type.

Fig2. Detection of hPSMA expression in prostate in hPSMA KI mice.

Fig3. Analysis of human PSMA expression in the MC38-hPSMA cell line and the transplanted tumor of the PSMA humanized mice by FACS. Most of the MC38-hPSMA cells express human PSMA (A,B); the transplanted tumor formed by MC38-hPSMA cell line expresses human PSMA on the CD45- cells (C).(Completed in collaboration with CrownBio)

Fig4. Subcutaneous tumor formation experiment of the MC38-hPSMA cells in the PSMA humanized mice .The tumor volume was measured every 5 days after injection of MC38-hPSMA cells (n=10).The previous studies have shown that wild type mice would spontaneously reject the syngeneic tumors expressing an introduced human tumor antigen-hPSMA. While the MC38-hPSMA cells can form tumors subcutaneously in the humanized PSMA mice, indicating that the PSMA humanized mouse model can be used to transplant the MC38-hPSMA cell line.(Completed in collaboration with CrownBio)

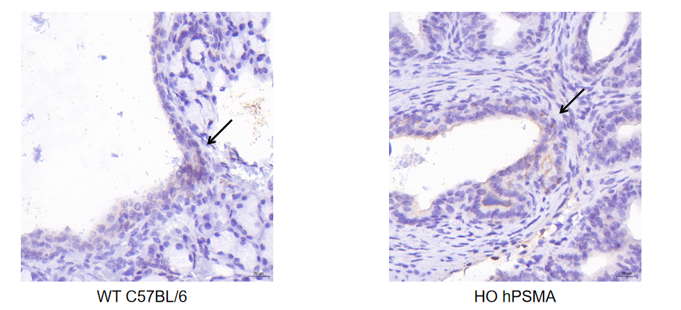
Fig5. Detection of human PSMA expression in Prostate by IHC.
Note. The human PSMA antibody cross-reacted with mouse PSMA and human PSMA.
Abbr. HO, homozygous; WT, wild type.
你也可能感兴趣
Cre-ERT2在无Tamoxifen诱导的情况下,在细胞质内处于无活性状态;当Tamoxifen诱导后,Tamoxifen的代谢产物4-OHT(雌激素类似物)与ERT结合,可使Cre-ERT2进核发挥Cre重组酶活性。
查看
